الجمعة, 21 ذو القعدة 1447 هجريا, 8 مايو 2026 ميلاديا.
مواقيت الصلاة

مواقيت الصلاه بحسب التوقيت المحلى لمدينة المدينة المنورة ليوم الجمعة, 21 ذو القعدة 1447هـ

الفجر
04:17 ص
الشروق
05:42 ص
الظهر
12:18 م
العصر
03:44 م
المغرب
06:55 م
العشاء
08:25 م

أخر الأخبار |

آل معلا يحتفلون بزواج أبنائهم الثلاثة سعود – علي – أحمد – بقاعة دفادف بالقصيم (صور)

بتكلفة 188 مليون ريال.. المدينة المنورة تعزّز بنيتها التحتية بـ10 مشروعات طرق وسلامة مرورية

هل تجب العدة على المختلعة؟ الشيخ يوسف بن سعيد يجيب (شاهد)

تحذير طبي: الجلطات القلبية قد تكون أول مؤشر خفي للسكري

المفتي العام يشيد بدور “نزاهة” في حماية المجتمع ويحث على تكامل الجهود الرقابية

​بـ 8 لغات.. الصحة و”وقاية” تطلقان دليل “حِج بصحة” لموسم 1447هـ

بلهجة شديدة.. الإمارات ترد على “ادعاءات” طهران وتؤكد: سيادتنا خط أحمر

​ترمب: كنت مستعداً للخسائر الاقتصادية للتخلص من قيادة إيران “المجنونة”.. والعالم لن يكون رهينة

​بـ 6000 عمود رذاذ و25 ألف صنبور مياه.. “كدانة” تعزز جودة الحياة لضيوف الرحمن في المشاعر المقدسة

من جرح في الطفولة إلى جراح عالمي.. الربيعة يكشف سر عبارة والده التي غيرت حياته ويستعيد ذكريات بداياته (شاهد)

بمشاركة 150 ممارساً ومتطوعاً.. “جديدة عرعر” يواصل استقبال حجاج البر وسط إشادة واسعة بجودة الخدمات

نسأل الله أن يديم الأمن على السعودية الغالية.. طيار كويتي يكشف تفاصيل رسالة وداعه المؤثر لمطار الدمام (شاهد)

الصحة والغذاء

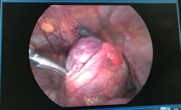
«باستخدام الروبوت والعلاج الكيميائي المسخن» .. استئصال ورم نادر بالغشاء البلوري في المدينة الطبية بجامعة الملك سعود

«باستخدام الروبوت والعلاج الكيميائي المسخن» .. استئصال ورم نادر بالغشاء البلوري  في المدينة الطبية بجامعة الملك سعود
https://www.alshaamal.com/?p=293800
تم النشر في: 27 أبريل، 2025 3:48 م                                    
31390
0
واس
واس- الرياض
واس

أجرى فريق جراحة الصدر في المدينة الطبية بجامعة الملك سعود، عملية استئصال دقيقة لورم مُنتشر في الغشاء البلوري المغطي للجهة اليمنى من التجويف الصدري والرئة عن طريق الروبوت مع استخدام العلاج الكيميائي المسخن، وذلك لمريض خمسيني يعاني من ورم غير حميد في الغشاء البلوري للصدر.
وأوضح استشاري جراحة الصدر بالمدينة الطبية الدكتور صالح عبدالرحمن الناصر أن هذا النوع من العمليات باستخدام العلاج الكيميائي المسخن يُعد من العمليات النوعية على مستوى المملكة والمعقّدة جدًا في جراحة الأورام بالنسبة للتجويف الصدري التي تتطلب كفاءات عالية من ناحية التدريب والخبرة، حيث تم استئصال الورم المُنتشر عن طريق تقشير الغشاء البلوري المغطى لجدار الصدر، وكذلك الغشاء المغطى للرئة والحجاب الحاجز وغشاء التامور، ومن ثم استخدام العلاج الكيمائي المسخن داخل تجويف الصدر بدرجة حرارة 42 درجة مما يساعد في ضمان استئصال الورم بنسبة عالية وتقليل احتمال عودتها مجددًا.
وأكد الدكتور الناصر أن استخدام الروبوت يأتي كعامل مساعد في الوصول لمناطق يصعب الوصول إليها عن طريق الشق الجراحي الاعتيادي، مُعربًا عن شكره وتقديره للفريق الطبي المشارك.
يُذكر أن المدينة الطبية بجامعة الملك سعود تُعد مرجعًا طبيًا مميزًا، حيث يتم فيها إجراء أحدث وأعقد الجراحات باستخدام تقنيات متطورة تحت إشراف استشاريين بخبرات عالمية.

التعليقات (٠) أضف تعليق

أضف تعليق

بريدك الالكترونى لن نقوم بأستخدامه.

You may use these HTML tags and attributes:
<a href="" title=""> <abbr title=""> <acronym title=""> <b> <blockquote cite=""> <cite> <code> <del datetime=""> <em> <i> <q cite=""> <s> <strike> <strong>