نجح فريق مسار الإصابات بتجمع الرياض الصحي الأول، في إجراء عملية جراحية طارئة بمدينة الملك سعود الطبية لمصاب عشريني تعرض لحالة طعن في الرقبة بمحافظة الأفلاج.
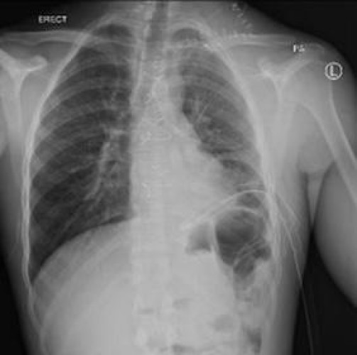
وأوضح “التجمع الأول” أن المصاب قد تعرض لحالة الطعن مساء يوم الأربعاء الماضي وقد تلقى العلاج المبدئي والتعامل مع النزيف في مستشفى الأفلاج العام، وتم التواصل مع مركز الإحالات؛ ليتم نقل المريض بشكل طارئ إلى المدينة الطبية، حيث تم إستقبال المصاب في منتصف الليل، وعلى الفور تم إيقاف النزيف بعد أخذ المصاب لغرفة العمليات، وعمل شق جراحي أعلى عظمة الترقوة اليسرى، ومن ثم فتح الصدر بواسطة شق عظمة القص؛ حيث تبيّن أن المصاب قد نزف ما يقارب من 2 إلى 3 لتر من الدم في التجويف الصدري، ليتم التحكم بالنزيف وإعطاء المصاب ما يقارب 15 من وحدات الدم أثناء العملية.
و أضاف “التجمع الأول” بأنه تم التعامل مع الحالة من قبل مركز جراحة الإصابات بقيادة إستشاري ومدير مركز الإصابات والحوادث د. شرف الدين شودري بمشاركة د. عبدالله الفردوس من جراحة الإصابات واخصائي جراحة الأوعية د. حامد الشافعي بالإضافة إلى فريق جراحة الأوعية الدموية.
وأشار “التجمع الأول” بأن العملية تكللت بالنجاح ولله الحمد وخرج المريض من المستشفى وهو بصحة جيدة، وذلك بعد عمل أشعة مقطعية بالصبغة للطرف العلوي الأيسر له؛ حيث تم التأكد من توقف النزيف، وتتم متابعة المريض حالياً في العيادات الخارجية.
يذكر أن إصابة الشريان تحت الترقوي من الإصابات النادرة جداً، والتي تحمل نسبة عالية من الوفيات بسبب النزيف الحاد، بالإضافة إلى أهمية وجود جراح إصابات ذو خبرة عالية لتجنب إصابة عصب الحجاب الحاجز أو إصابة أعصاب الضفيرة العضدية والتي تم تفاديها ولله الحمد.







