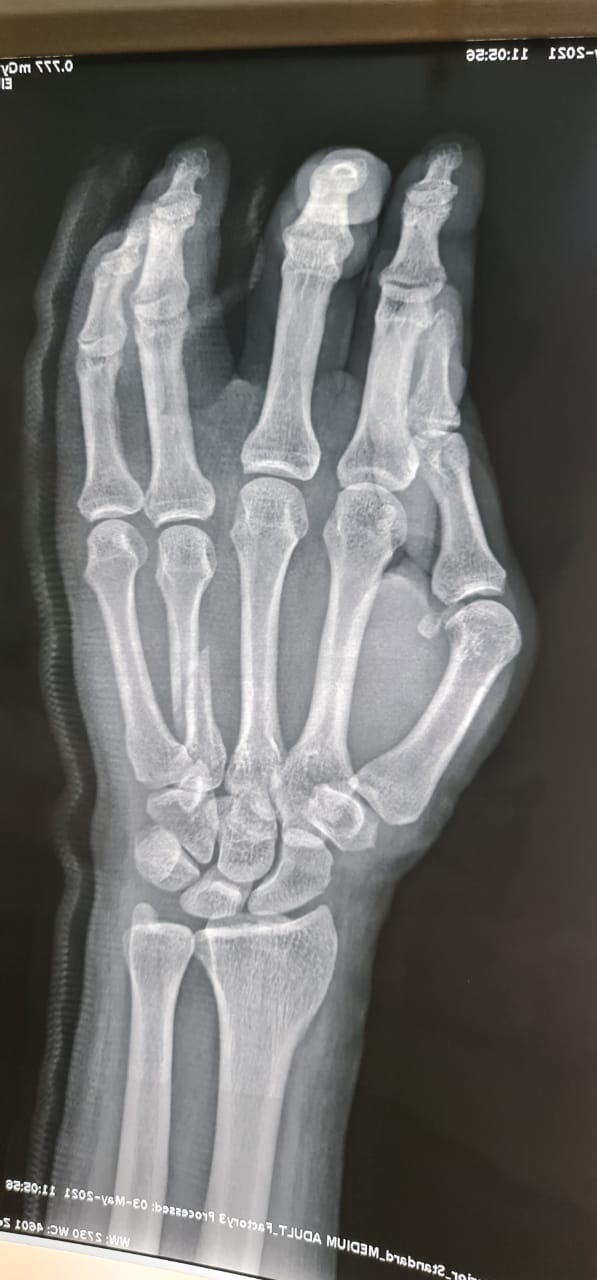
تمكّن فريق طبي متخصص بمستشفى حريملاء العام من إجراء تدخل عاجل و طارئ ، للتعامل مع حالة لمواطن سعودي خمسيني مصاب بكسر متزحزح بالمشطية الرابعة لليد اليمنى إثر حادث سقوط.
واستقبل قسم الطوارئ بالمستشفى المصاب حيث تم على الفور تشكيل فريق طبي مكون من أخصائيين قسم جراحة العظام والكسور بالمستشفى ، وقام الأطباء على الفور بعمل الإسعافات الأولية وإعطائه المحاليل والمسكنات والمضادات الحيوية، وتم عمل الأشعات العادية والمقطعية، التي أظهرت أن المريض يعاني من كسر متزحزح بالمشطية الرابعة لليد اليمنى ويحتاج تصليح مفتوح للكسر وتثبيت بشريحة ومسامير ذات طابع خاص، فتم نقل المريض إلى غرفة العمليات وإجراء عملية تثبيت بشرائح ومسامير.
الجدير بالذكر، أن هذه العملية تعتبر الأولى من نوعها تجرى بمستشفى حريملاء العام وتتمثل في عملية جراحة اليد التخصصية والتجميل .








